Menu

ClearCorrect® Clear Aligners is a modern, discreet orthodontic treatment option designed to straighten teeth without the use of traditional metal braces.

Using a series of custom-made, clear aligners, ClearCorrect® gradually shifts your teeth into their desired positions. These aligners are comfortable, removable, and virtually invisible, making them an ideal choice for patients who want to improve their smile without drawing attention to their orthodontic treatment.

Whether you’re looking to correct mild to moderate alignment issues or simply enhance the appearance of your smile, ClearCorrect® offers a convenient and effective solution tailored to your needs.

Providing you with cutting-edge innovation, technology, and the doctor-developed products you deserve, ClearCorrect® brings you a unique, personalised orthodontic experience that is discreet, fast, and comfortable.

invisalign thumb

ClearCorrect®

  • Clear, virtually invisible
  • Smooth and comfortable
  • Removable & easy to clean
  • Faster for mild to moderate cases
invisalign thumb

Traditional Braces

  • Wires and brackets
  • Can decorate with colours
  • Colours can be changed each visit
  • Non removable
VS

ClearCorrect® offers several benefits for dental patients seeking a discreet and effective way to straighten their teeth.

With clear, custom-made aligners, the treatment is nearly invisible, allowing for a more subtle approach compared to traditional braces.

The aligners are also removable, making it easier to maintain good oral hygiene and enjoy food without restrictions.

Additionally, ClearCorrect® aligners are typically more comfortable, with fewer chances of irritation compared to metal braces. The treatment can also be faster for mild to moderate alignment issues, providing patients with a smoother, more efficient journey to a confident smile.

Clear aligners are a lifestyle-friendly and discreet alternative to fixed metal braces for straightening your teeth.

Unlock confidence in your smile and enjoy the health benefits of living with straight teeth.

Clear Aligners: The Benefits

  • Straighten your teeth without fixed braces.
  • Discreet treatment for teeth straightening.
  • Bespoke and comfortable appliance.
  • Affordable way of straightening your teeth.
  • Try before you buy – request a set of pre-aligners before going ahead with treatment.
    Dentist-supervised.

Tell Me More About Clear Aligners

Clear aligners are bespoke teeth straightening appliances worn in a sequence. They provide an alternative to traditional metal braces, making them highly appealing to patients who have previously put off teeth straightening due to the lack of options.

Treatment takes between 6-24 months, depending on the severity of the misalignment and the number of teeth that require straightening. If you’re looking to straighten just your ‘social six’ (the teeth most visible when you smile), treatment can take just 6 months, whilst comprehensive straightening of all teeth can take up to 24 months.

We offer two leading clear aligner systems, ClearCorrect Clear Aligners and Smilelign Clear Aligners. During your appointment, your dentist will guide you on which to choose for your unique teeth straightening case.

Treatment Steps

Consultation

A full consultation is the first step to a straighter smile using clear aligners. Your dentist will outline the stages involved and take clinical photographs and digital scans of your teeth. They will be able to see how your teeth bite together and send the scans off for your custom series of clear aligners to be made.

Teeth straightening

Your clear aligners are created in the ClearCorrect or Smilelign laboratories (depending on which system is best for your circumstance). It’s then up to you to wear the aligners for between 20-22 hours a day and to attend appointments with your dentist as advised.

Retainer

Once your teeth have reached their final position, a removable (and, as necessary, a fixed) retainer is made which will prevent your teeth from moving back. Removable retainers are to be worn for life regularly, or else you risk your teeth moving back to how they were.

Why Choose Hove Dental Clinic For Teeth Straightening

Hove Dental Clinic is not your typical dental practice environment.

The brainchild of Dr Dimitri Mantazis, the clinic is a calm oasis that fosters both patient comfort and well-being.

We take a holistic approach to dental care and reject the traditional cold and clinical settings that often make it difficult for patients to relax. We focus much of our attention on supporting nervous patients, helping them develop the confidence that will allow them to access the high-quality treatment they deserve from us.

We consider a commitment to continuing professional development a must for every member of our clinical team to offer the latest treatments to our patients.

Am I suited for Clear Aligners?

Clear aligners are a popular alternative to fixed braces, but they aren’t for everyone. Clear aligners require a certain degree of compliance. You must:

  • Remember to clean them each day as instructed.
  • Remember to avoid teeth staining food and drink – these can stain your aligners.
  • Remember to wear your aligners for 20-22 hours a day.

Abiding by the above points will ensure your teeth are straightened within the predicted time frame.

In Person Consultation

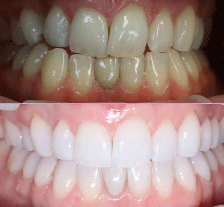
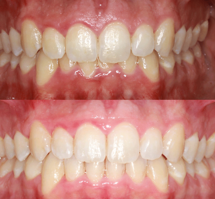
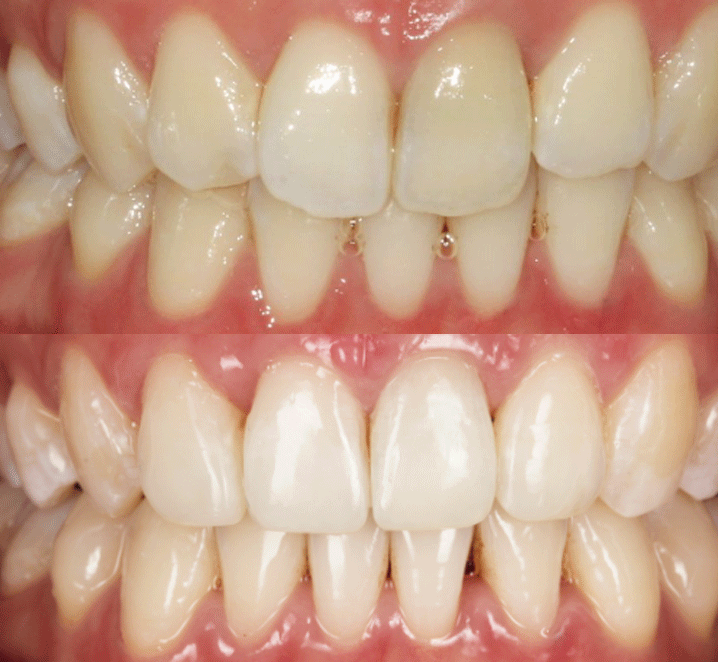
Smile Gallery

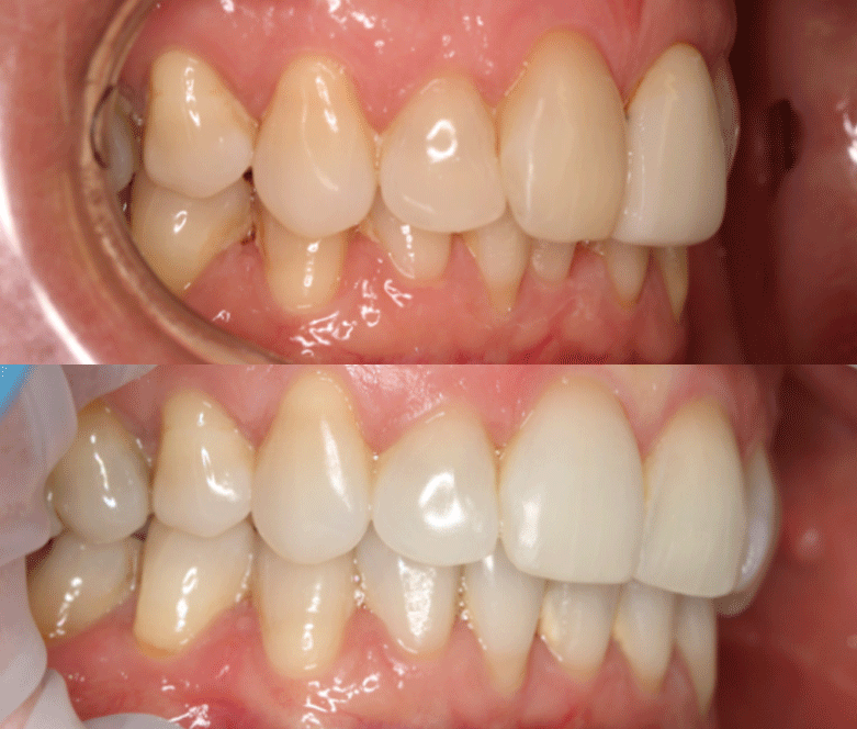
Smile Gallery

Before

After

Images by ClearCorrect®

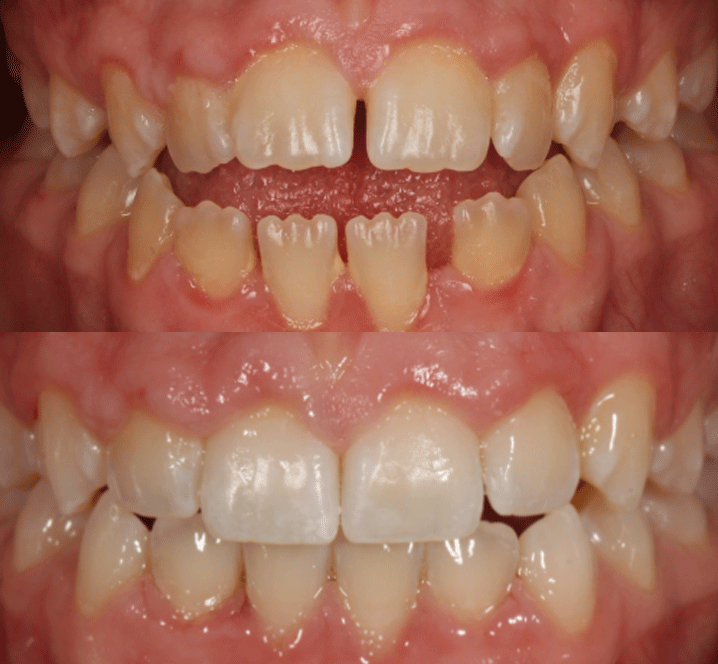
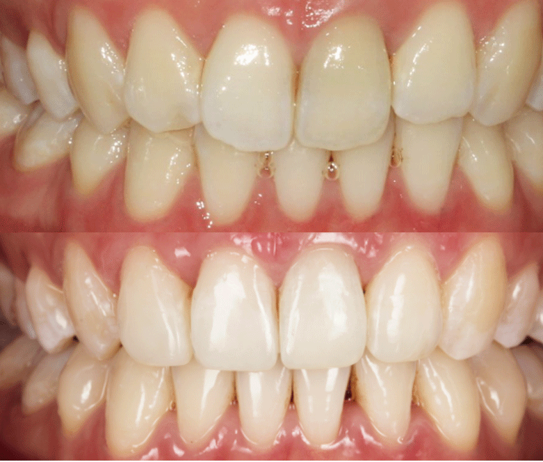
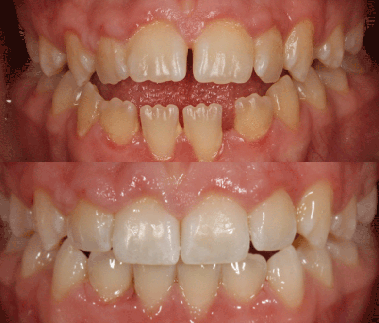
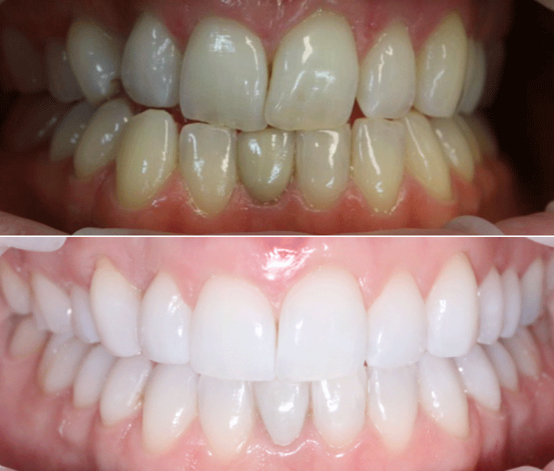
Smile Gallery

Before

After

Images by ClearCorrect®

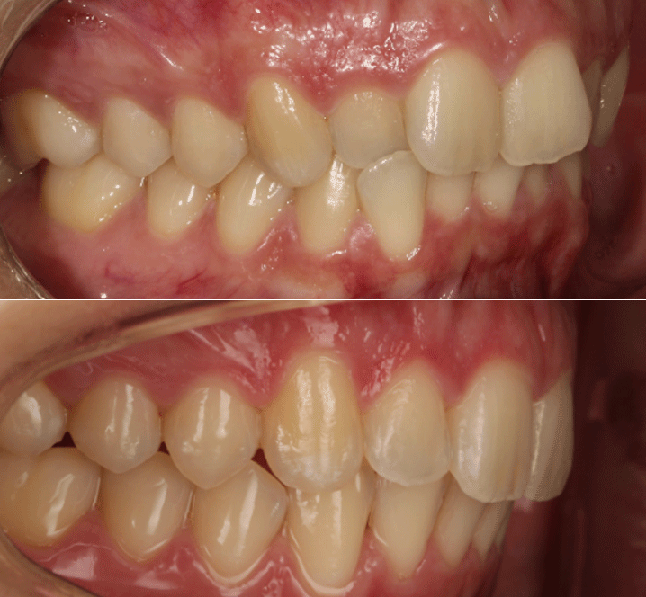
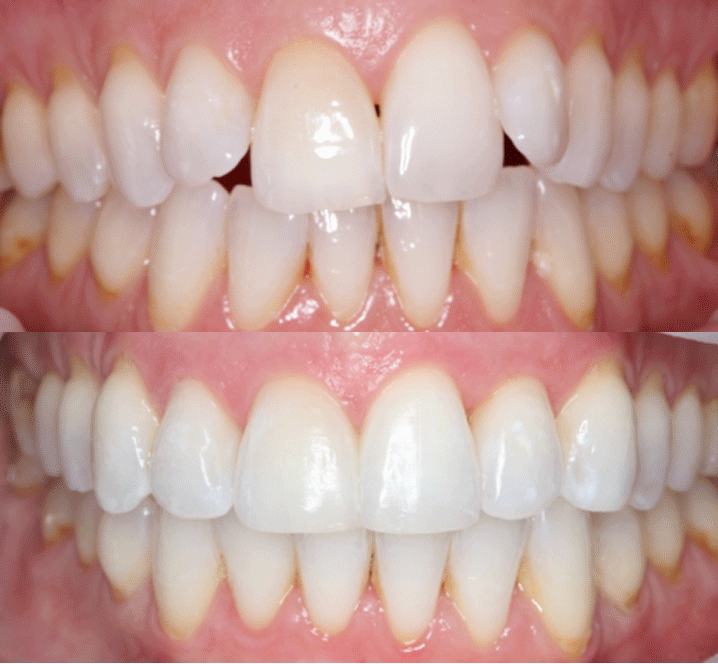
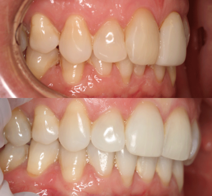
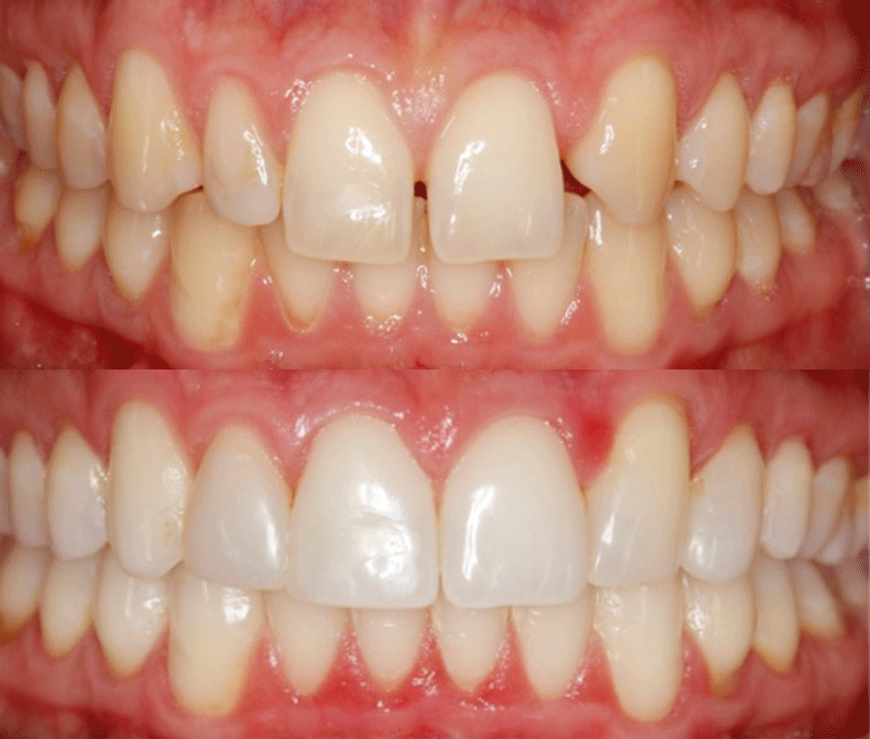
Smile Gallery

Before

After

Images by ClearCorrect®

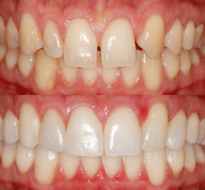
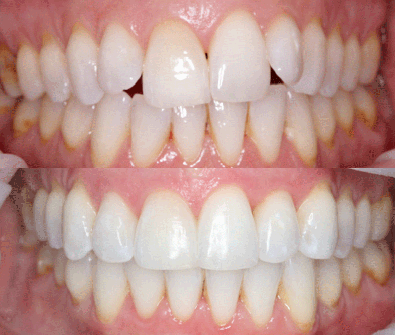
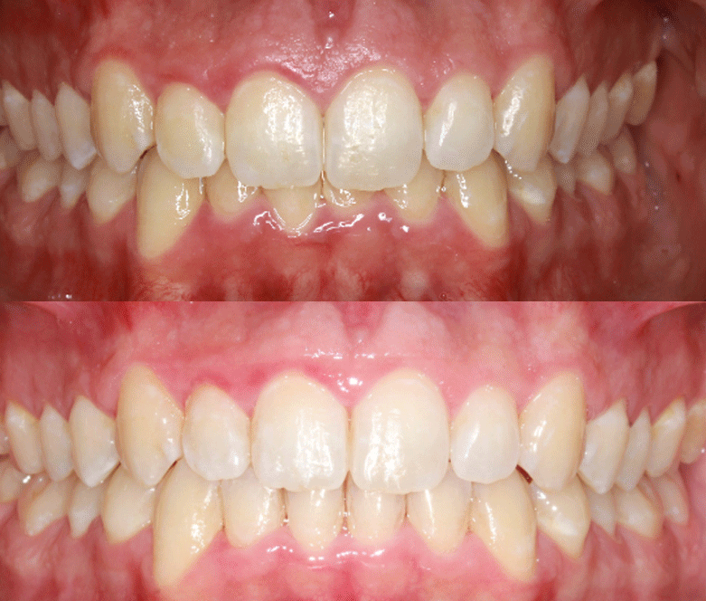
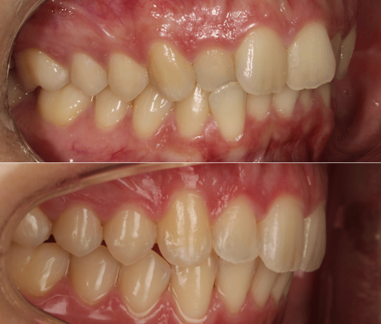
Smile Gallery

Before

After

Images by ClearCorrect®

Smile Gallery

Before

After

Images by ClearCorrect®

Smile Gallery

Before

After

Images by ClearCorrect®

Smile Gallery

Before

After

Images by ClearCorrect®

Smile Gallery

Before

After

Images by ClearCorrect®

Smile Gallery

Smile Gallery

Before

After

Images by ClearCorrect®

Smile Gallery

Before

After

Images by ClearCorrect®

Smile Gallery

Before

After

Images by ClearCorrect®

Smile Gallery

Before

After

Images by ClearCorrect®

Smile Gallery

Before

After

Images by ClearCorrect®

Smile Gallery

Before

After

Images by ClearCorrect®

Smile Gallery

Before

After

Images by ClearCorrect®

Smile Gallery

Before

After

Images by ClearCorrect®

Comparison with ClearCorrect® vs other treatments

Other clear aligners

Traditional braces

Made from SmartTrack material

check

In-person consultations with real dentists

check
check

Easily removable for eating, drinking & flossing*

check
check

Made from SmartTrack material

check

In-person consultations with real dentists

check

Easily removable for eating, drinking & flossing*

check

No emergency visits for broken wires

check

Virtually invisible

check

Each aligner is trimmed to your gum line for optimal comfort and appearance**

check

Blue compliance indicator dots to help you stay on track

check

Covered by many orthodontic insurance plans

check

Easily removable for eating, drinking & flossing*

check

No emergency visits for broken wires

check

Virtually invisible

check

Covered by many orthodontic insurance plans

check

In-person consultations with real dentists

check

Made from traditional brackets and wires

check

Each aligner is trimmed to your gum line for optimal comfort and appearance**

check

Covered by many orthodontic insurance plans

check

Five reasons why you should choose us for your ClearCorrect® treatment

reasons icon

Award-winning customer service

reasons icon

Free 3D Scan worth £350, included for free

reasons icon

Boutique Complete Home Whitening Kit worth £395, included for free

reasons icon

Beautiful teeth in as little as three months, using safe cosmetic braces

reasons icon

Why wait? Interest free finance available

In Person Consultation

What can ClearCorrect® fix?

invisalign before after

Crossbite

A crossbite occurs when one or more upper teeth bite inside the lower teeth, which can happen at the front or sides of the mouth. This misalignment can lead to tooth wear, gum problems, and jaw discomfort. Treatment options like braces or clear aligners can help correct a crossbite and improve your bite and overall dental health.

invisalign before after

Crowding

Crowding happens when there isn't enough space in the mouth for all your teeth to fit properly, causing them to overlap or shift. This can lead to crooked teeth, difficulty cleaning between them, and potential oral health issues. Treatment, such as braces or clear aligners, can help align the teeth and improve both appearance and function.

invisalign before after

Deep bite

A deep bite occurs when the upper front teeth overlap the lower front teeth excessively, often covering them completely or nearly so. This misalignment can cause tooth wear, jaw discomfort, and gum issues. Treatment options like braces or clear aligners can help correct a deep bite, improving your bite and overall oral health.

invisalign before after

Edge to Edge

An edge-to-edge bite occurs when your upper and lower front teeth meet directly at their edges, rather than the upper teeth slightly overlapping the lower ones. This can cause tooth wear, discomfort, and increased risk of damage to your teeth. Treatment options like braces or clear aligners can help correct this bite, improving both function and appearance.

invisalign before after

Midline

A midline issue occurs when the centre of your upper teeth doesn’t align with the centre of your lower teeth. This misalignment can affect both your appearance and bite and may lead to discomfort or difficulty chewing. Treatment with braces or clear aligners can help correct the midline and improve your overall dental health.

invisalign before after

Open bite

An open bite occurs when your upper and lower teeth don't come together when you bite down, leaving a gap, often at the front or sides of your mouth. This can make it difficult to chew properly and affect your speech. Treatment options like braces or clear aligners can help close the gap and improve your bite and overall oral health.

invisalign before after

Overjet

An overjet occurs when your upper front teeth stick out farther than your lower front teeth, creating a noticeable gap. This can affect your bite, cause tooth wear, and lead to difficulty chewing or speaking. Treatment options, such as braces or clear aligners, can help correct the overjet and improve both your appearance and dental function.

invisalign before after

Spacing

Spacing refers to gaps or spaces between your teeth, which can occur due to missing teeth, small teeth, or differences in jaw size. While some spacing is natural, excessive gaps can affect your smile and may lead to oral health issues, such as difficulty cleaning between teeth. Treatment options like braces or clear aligners can help close the gaps and improve both the appearance and function of your teeth.

In Person Consultation

Cost of ClearCorrect®

Affordable ClearCorrect®treatment

Many people worry about the cost of ClearCorrect®, and so we have devised a number of payment plans to help you afford the right treatment with ClearCorrect® Clear Aligners from £2.50 per day with our finance options.

Learn More

ClearCorrect®

from £ 2500
  • Free initial consultation
  • Free 3D scan worth £350
  • Boutique Complete Home Whitening Kit worth £395*

Free virtual 3D scan

We can create a 3D image of your teeth in just minutes using an Trios scanner, a leading digital scanner used for ClearCorrect® Clear Aligners.

Scan Image
Itro Image

FAQs

1. What is the ClearCorrect® treatment process?

The ClearCorrect® treatment requires patients to wear a series of clear aligners for 22 hours each day.

This treatment can take anywhere from six to 18 months to complete, depending on the severity of the misalignment.

2. What is ClearCorrect® treatment?

ClearCorrect® is a clear aligner system that utilises a series of custom-made, 3D-printed, removable aligners to gradually straighten teeth.

The aligners are made of a transparent plastic material, making them virtually invisible when worn.

3. How long do you wear ClearCorrect®?

For your ClearCorrect® treatment to be most effective, it’s important to wear your aligners for 20 to 22 hours a day (the closer to 22 hours, the better).

While this may seem like a lot, remember that it’s over 90% of your day – and wearing your aligners as much as possible will help you achieve the best results in the shortest amount of time.

In Person Consultation

CONTACT

Whether you’re looking to schedule your next dental check-up or have questions about our Treatments, we’re here to help.

Let’s Get in touch

instagram instagram INSTAGRAM

Google Rating
4.9
Google Rating
Google-review